MR volumetry of total intracranial and brain volume in normal adult population aged 40 years old and above
Keywords:
MedicalAbstract
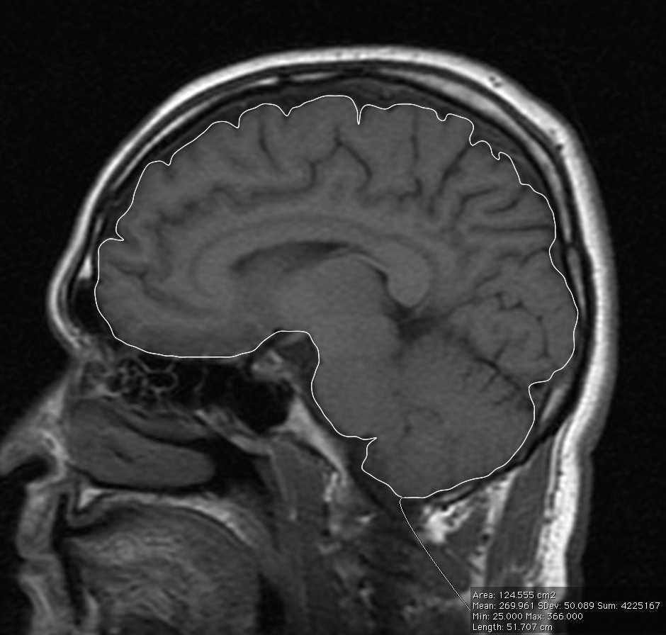
This study aimed to determine the total intracranial volume, total brain volume and total intracranial volume to total brain volume ratio among the male and female subjects in normal healthy subjects aged 40 years old and above. This was a retrospective study involving 58 subjects aged from 41 to 77 years old. The study was approved by the institutional review board. Magnetic resonance imaging of the brain performed using General Electric Signa Horizon LX 1.0 Tesla scanner. Magnetic resonance images were obtained in T1 sagittal and axial sections with 5-millimetre thickness with 2-millimetre gap. The images acquired were stored in the hospital’s Picture Archiving and Communications system and viewed using Osirix image viewer version 3.2.1. A single observer validated by an experienced neuroradiologist with more than 10 years’ experience performed volumetric analysis. Mean (SD) of total intracranial volume was 1397.06cm3 (132.51cm3) for all subjects. The mean total intracranial volume for male subjects was 1496.12cm3 (100.08cm3). For female subjects, the mean total intracranial volume was 1310.79cm3 (90.34cm3). The mean total brain volume for all subjects was 1245.29cm3 (125.34cm3). The mean total brain volume for the male subjects was 1338.05cm3 (91.96cm3). For the female subjects, the mean total brain volume was 1164.49cm3 (89.61cm3). Mean total brain to intracranial volume ratio for all subjects were 0.8911 (0.0245). Mean total brain to intracranial volume ratio for male subjects was 0.8946 (0.0276). Mean total brain volume to total intracranial volume ratio for female subjects was 0.8881 (0.0214). This study showed no significant difference in mean total intracranial volume, mean total brain volume and total brain volume to total intracranial volume ratio between male and female. However, the study obtained valuable normative data for estimation and predicting future degenerative events in our population
References
Kennedy JM, Zochodne DW. Experimental diabetic neuropathy with spontaneous recovery: Is there irreparable damage? Diabetes. 2005;54(3):830–7.
Peters R. Ageing and the brain. Postgrad Med J. 2006 Feb;82(964):84–8.
Ohnishi T, Matsuda H, Tabira T, Asada T, Uno M. Changes in brain morphology in Alzheimer disease and normal aging: is Alzheimer disease an exaggerated aging process? AJNR Am J Neuroradiol. 2001 Oct;22(9):1680–5.
Adduru V, Baum SA, Zhang C, Helguera M, Zand R, Lichtenstein M, et al. A Method to Estimate Brain Volume from Head CT Images and Application to Detect Brain Atrophy in Alzheimer Disease. Am J Neuroradiol [Internet]. 2020 Feb 1;41(2):224 LP – 230. Available from: http://www.ajnr.org/content/41/2/224.abstract
Fox NC, Freeborough PA. Brain atrophy progression measured from registered serial MRI: validation and application to Alzheimer’s disease. J Magn Reson Imaging. 1997;7(6):1069–75.
Kruggel F. MRI-based volumetry of head compartments: normative values of healthy adults. Neuroimage. 2006 Mar;30(1):1–11.
Reite M, Reite E, Collins D, Teale P, Rojas DC, Sandberg E. Brain size and brain/intracranial volume ratio in major mental illness. BMC Psychiatry [Internet]. 2010;10(1):79. Available from: https://doi.org/10.1186/1471-244X-10-79.
Giorgio A, De Stefano N. Clinical use of brain volumetry. J Magn Reson Imaging. 2013 Jan;37(1):1–14.
El-Sayed M, Steen RG, Poe MD, Bethea TC, Gerig G, Lieberman J, et al. Brain volumes in psychotic youth with schizophrenia and mood disorders. J Psychiatry Neurosci. 2010 Jul;35(4):229–36.
Scahill RI, Frost C, Jenkins R, Whitwell JL, Rossor MN, Fox NC. A longitudinal study of brain volume changes in normal aging using serial registered magnetic resonance imaging. Arch Neurol. 2003 Jul;60(7):989–94.
Chiang GC, Insel PS, Tosun D, Schuff N, Truran-Sacrey D,
Raptentsetsang S, et al. Identifying cognitively healthy elderly individuals with subsequent memory decline by using automated MR temporoparietal volumes. Radiology. 2011 Jun;259(3):844–51.
Raji A, Ostwaldt A-C, Opfer R, Suppa P, Spies L, Winkler G. MRI-Based Brain Volumetry at a Single Time Point Complements Clinical Evaluation of Patients With Multiple Sclerosis in an Outpatient Setting. Front Neurol. 2018;9:545.
Sastre-Garriga J, Pareto D, Battaglini M, Rocca MA, Ciccarelli O, Enzinger C, et al. MAGNIMS consensus recommendations on the use of brain and spinal cord atrophy measures in clinical practice. Nat Rev Neurol [Internet]. 2020;16(3):171–82. Available from: https://doi.org/10.1038/s41582-020-0314-x
Storelli L, Rocca MA, Pagani E, Van Hecke W, Horsfield MA, De Stefano N, et al. Measurement of Whole-Brain and Gray Matter Atrophy in Multiple Sclerosis: Assessment with MR Imaging. Radiology [Internet]. 2018 May 1;288(2):554–64. Available from: https://doi.org/10.1148/radiol.2018172468
Marciniewicz E, Pokryszko-Dragan A, Podgórski P, Małyszczak K, Zimny A, Kołtowska A, et al. Quantitative magnetic resonance assessment of brain atrophy related to selected aspects of disability in patients with multiple sclerosis: preliminary results. Polish J Radiol [Internet]. 2019;84:171–8. Available from: http://dx.doi.org/10.5114/pjr.2019.84274
Abdelgawad EA, Mounir SM, Abdelhay MM, Ameen MA. Magnetic resonance imaging (MRI) volumetry in children with nonlesional epilepsy, does it help? Egypt J Radiol Nucl Med [Internet]. 2021;52(1):35. Available from: https://doi.org/10.1186/s43055-021-00409-0
Keller SS, Roberts N. Measurement of brain volume using MRI: software, techniques, choices and prerequisites. J Anthropol Sci = Riv di Antropol JASS. 2009;87:127–51.
Ambarki K, Wåhlin A, Birgander R, Eklund A, Malm J. MR Imaging of Brain Volumes: Evaluation of a Fully Automatic Software. Am J Neuroradiol [Internet]. 2011 Feb 1;32(2):408 LP – 412. Available from: http://www.ajnr.org/content/32/2/408.abstract
Matsumae M, Kikinis R, Mórocz IA, Lorenzo A V, Sándor T, Albert MS, et al. Age-related changes in intracranial compartment volumes in normal adults assessed by magnetic resonance imaging. J Neurosurg. 1996 Jun;84(6):982–91.
Blatter DD, Bigler ED, Gale SD, Johnson SC, Anderson C V, Burnett BM, et al. Quantitative volumetric analysis of brain MR: normative database spanning 5 decades of life. AJNR Am J Neuroradiol. 1995 Feb;16(2):241–51.
Beals KL, Smith CL, Dodd SM, Angel JL, Armstrong E, Blumenberg B, et al. Brain Size, Cranial Morphology, Climate, and Time Machines [and Comments and Reply]. Curr Anthropol [Internet]. 1984 Jun 1;25(3):301–30. Available from: https://doi.org/10.1086/203138
Narr KL, Sharma T, Woods RP, Thompson PM, Sowell ER, Rex D, et al. Increases in Regional Subarachnoid CSF Without Apparent Cortical Gray Matter Deficits in Schizophrenia: Modulating Effects of Sex and Age. Am J Psychiatry [Internet]. 2003 Dec 1;160(12):2169–80. Available from: https://doi.org/10.1176/appi.ajp.160.12.2169
Arango C, McMahon RP, Lefkowitz DM, Pearlson G, Kirkpatrick B, Buchanan RW. Patterns of cranial, brain and sulcal CSF volumes in male and female deficit and nondeficit patients with schizophrenia. Psychiatry Res [Internet]. 2008;162(2):91–100. Available from: http://europepmc.org/abstract/MED/18201875
Robb RA, Hanson DP. A software system for interactive and quantitative visualization of multidimensional biomedical images. Australas Phys Eng Sci Med. 1991 Mar;14(1):9–30.
Kijonka M, Borys D, Psiuk-Maksymowicz K, Gorczewski K, Wojcieszek P, Kossowski B, et al. Whole Brain and Cranial Size Adjustments in Volumetric Brain Analyses of Sex- and Age-Related Trends. Front Neurosci. 2020;14(April):1–16.
Vågberg M, Granåsen G, Svenningsson A. Brain Parenchymal Fraction in Healthy Adults-A Systematic Review of the Literature. PLoS One. 2017;12(1):e0170018.
Rogne S, Vangberg T, Eldevik P, Wikran G, Mathiesen EB,
Schirmer H. Magnetic Resonance Volumetry: Prediction of Subjective Memory Complaints and Mild Cognitive Impairment, and Associations with Genetic and Cardiovascular Risk Factors. Dement Geriatr Cogn Dis Extra [Internet]. 2016;6(3):529–40. Available from: https://www.karger.com/DOI/10.1159/000450885.
Lee JY, Oh SW, Chung MS, Park JE, Moon Y, Jeon HJ, et al. Clinically Available Software for Automatic Brain Volumetry: Comparisons of Volume Measurements and Validation of Intermethod Reliability. Korean J Radiol [Internet]. 2021 Mar;22(3):405–14. Available from: https://doi.org/10.3348/kjr.2020.0518
Downloads
Additional Files
Published
Issue
Section
License
JBCS Publication Ethics
JBCS is committed to ensure the publication process follows specific academic ethics. Hence, Authors, Reviewers and Editors are required to conform to standards of ethical guidelines.
Authors
Authors should discuss objectively the significance of research work, technical detail and relevant references to enable others to replicate the experiments. JBCS do not accept fraudulent or inaccurate statements that may constitute towards unethical conduct.
Authors should ensure the originality of their works. In cases where the work and/or words of others have been used, appropriate acknowledgements should be made. JBCS do not accept plagiarism in all forms that constitute towards unethical publishing of an article.
This includes simultaneous submission of the same manuscript to more than one journal. Corresponding author is responsible for the full consensus of all co-authors in approving the final version of the paper and its submission for publication.
Reviewers
Reviewers of JBCS treat manuscripts received for review as confidential documents. Therefore, Reviewers must ensure the confidentiality and should not use privileged information and/or ideas obtained through peer review for personal advantage.
Reviews should be conducted based on academic merit and observations should be formulated clearly with supporting arguments. In cases where selected Reviewer feels unqualified to review a manuscript, Reviewer should notify the editor and excuse himself from the review process in TWO (2) weeks time from the review offer is made.
In any reasonable circumstances, Reviewers should not consider to evaluate manuscripts if they have conflicts of interest (i.e: competitive, collaborative and/or other connections with any of the authors, companies, or institutions affiliated to the papers).
Editors
Editors should evaluate manuscripts exclusively based on their academic merit. JBCS strictly do not allow editors to use unpublished information of authors without the written consent of the author. Editors are required to take appropriate responsive actions if ethical complaints have been presented concerning a submitted manuscript or published paper.
CONFLICT OF INTEREST
Journal of Biomedical and Clinical Sciences requires authors to declare all competing interests in relation to their work. All submitted manuscripts must include a ‘competing interests section at the end of the manuscript listing all competing interests (financial and non-financial). Where authors have no competing interests, the statement should read ,The authors have declared that no competing interests exist. Editors may ask for further information relating to competing interests.
Editors and reviewers are also required to declare any competing interests and will be excluded from the peer review process if a competing interest exists. Competing interests may be financial or non-financial. A competing interest exists when the authors interpretation of data or presentation of information may be influenced by their personal or financial relationship with other people or organizations. Authors should disclose any financial competing interests but also any non-financial competing interests that may cause them embarrassment if they were to become public after the publication of the article.
HUMAN AND ANIMAL RIGHTS
All research must have been carried out within an appropriate ethical framework. If there is suspicion that work has not taken place within an appropriate ethical framework, Editors will follow the Misconduct policy and may reject the manuscript, and/or contact the author(s) institution or ethics committee. On rare occasions, if the Editor has serious concerns about the ethics of a study, the manuscript may be rejected on ethical grounds, even if approval from an ethics committee has been obtained.
Research involving human subjects, human material, or human data, must have been performed in accordance with the Declaration of Helsinki and must have been approved by an appropriate ethics committee. A statement detailing this, including the name of the ethics committee and the reference number where appropriate, must appear in all manuscripts reporting such research. Further information and documentation to support this should be made available to Editors on request.
Experimental research on vertebrates or any regulated invertebrates must comply with institutional, national, or international guidelines, and where available should have been approved by an appropriate ethics committee. The Basel Declaration outlines fundamental principles to adhere to when conducting research in animals and the International Council for Laboratory Animal Science (ICLAS) has also published ethical guidelines.
A statement detailing compliance with relevant guidelines (e.g. the revised Animals (Scientific Procedures) Act 1986 in the UK and Directive 2010/63/EU in Europe) and/or ethical approval (including the name of the ethics committee and the reference number where appropriate) must be included in the manuscript. The Editor will take account of animal welfare issues and reserves the right to reject a manuscript, especially if the research involves protocols that are inconsistent with commonly accepted norms of animal research. In rare cases, Editors may contact the ethics committee for further information.
INFORMED CONSENT
For all research involving human subjects, informed consent to participate in the study should be obtained from participants (or their parent or guardian in the case of children under 16) and a statement to this effect should appear in the manuscript, this includes to all manuscripts that include details, images, or videos relating to individual participants.
DATA SHARING POLICY
JBCS strongly encourages that all datasets on which the conclusions of the paper rely should be available to readers. We encourage authors to ensure that their datasets are either deposited in publicly available repositories (where available and appropriate) or presented in the main manuscript or additional supporting files, in machine-readable format (such as spreadsheets rather than PDFs) whenever possible
Authors who do not wish to share their data must state that data will not be shared, and give the reason.
COPYRIGHT NOTICE
The JBCS retains the copyright of published manuscripts under the terms of the Copyright Transfer Agreement. However, the journal permits unrestricted use, distribution, and reproduction in any medium, provided permission to reuse, distribute and reproduce is obtained from the Journal's Editor and the original work is properly cited.
While the advice and information in this journal are believed to be true and accurate on the date of its going to press, neither the authors, the editors, nor the publisher can accept any legal responsibility for any errors or omissions that may be made. The publisher makes no warranty, express or implied, with respect to the material contained herein.
Copyright (c) 2023 Journal of Biomedical and Clinical Sciences (JBCS)
This work is licensed under a Creative Commons Attribution-NonCommercial-NoDerivatives 4.0 International License.





