Cavernous Sinus Hemangioma Presenting with Binocular Diplopia
Keywords:
Cavernous sinus, hemangioma, meningiomaAbstract
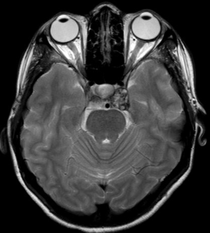
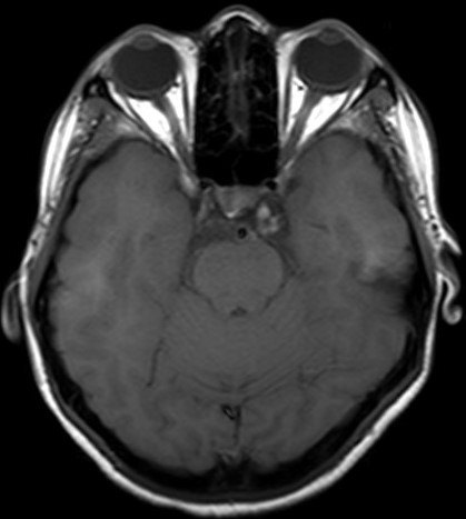
A hemangioma is a benign vascular tumor of the brain, which rarely occurs in the cavernous sinus. We report a rare case of cavernous sinus hemangioma presenting with binocular diplopia. A 23-year-old lady presented with binocular diplopia associated with restricted left lateral gaze for 3 months. Visual acuity of both eyes was 6/6 with normal pupillary reaction. Both anterior and posterior segment were unremarkable. Contrasted computed tomography of brain showed an irregular mass within the left cavernous sinus causing pressure effect on the adjacent bone. Cerebral magnetic resonance imaging (MRI) showed a convexity in the left cavernous sinus, with a well-defined heterogeneous lesion with mixed hypo and hyperintensity in T1WI and T2WI; post gadolinium contrast, it was minimally enhanced. The patient was managed conservatively and at one-year post presentation, her symptoms improved but the lesion morphology and size remained static. We highlight the classic radiological presentation of a hemangioma and discuss the features differentiating it from the more commonly observed meningioma seen in the cavernous sinus.References
Bhatia S, Kapoor A, Gupta R, Sahni T. Cavernous hemangioma located at the foramen of Monro: Radiopathological correlation. Indian J Radiol Imaging. 2013; 23(3):pp.202-204.
Hasiloglu ZI, Asik M, Kizilkilic O, Albayram S, Islak C. Cavernous hemangioma of the cavernous sinus misdiagnosed as a meningioma: a case report and MR imaging findings. Clin imaging. 2013; 37(4):pp.744-746.
Jinhu Y, Jianping D, Xin L, Yuanli Z. Dynamic enhancement features of cavernous sinus cavernous hemangiomas on conventional contrast-enhanced MR imaging. Am J Neuroradiol. 2008; 29(3):pp.577-581.
Shi J, Hang C, Pan Y, Liu C, Zhang Z. Cavernous hemangiomas in the cavernous sinus. Neurosurgery. 1999; 45(6):pp.1308.
Zhou LF, Mao Y, Chen L. Diagnosis and surgical treatment of cavernous sinus hemangiomas: an experience of 20 cases. Surg Neurol. 2003; 60(1):pp.31-36.
Sohn CH, Kim SP, Kim IM, Lee JH, Lee HK. Characteristic MR imaging findings of cavernous hemangiomas in the cavernous sinus. Am J Neuroradiol. 2003; 24(6):pp.1148-1151.
Bhatia S, O’Neill BR, Pu F, Aziz K. Giant tentorial cavernous hemangioma: Case report and review of literature. Clin Neurol Neurosurg. 2011; 113(10):pp.937-942.
A.A.K. Abdel Razek and M. Castillo. Imaging lesions of the cavernous sinus. Am J Neuroradiol. 2009; 30 (3):pp. 444-452.
Kayali H, Sait S, Serdar K, Kaan O, Ilker S, et al. Intracranial cavernomas: analysis of 37 cases and literature review. Neurol India. 2004; 52(4):pp.439-442.
Fernández S, Miró J, Falip M, Coello A, Plans G, et al. Surgical versus conservative treatment in patients with cerebral cavernomas and non refractory epilepsy. Seizure. 2012;21(10):785.
Downloads
Published
Issue
Section
License
JBCS Publication Ethics
JBCS is committed to ensure the publication process follows specific academic ethics. Hence, Authors, Reviewers and Editors are required to conform to standards of ethical guidelines.
Authors
Authors should discuss objectively the significance of research work, technical detail and relevant references to enable others to replicate the experiments. JBCS do not accept fraudulent or inaccurate statements that may constitute towards unethical conduct.
Authors should ensure the originality of their works. In cases where the work and/or words of others have been used, appropriate acknowledgements should be made. JBCS do not accept plagiarism in all forms that constitute towards unethical publishing of an article.
This includes simultaneous submission of the same manuscript to more than one journal. Corresponding author is responsible for the full consensus of all co-authors in approving the final version of the paper and its submission for publication.
Reviewers
Reviewers of JBCS treat manuscripts received for review as confidential documents. Therefore, Reviewers must ensure the confidentiality and should not use privileged information and/or ideas obtained through peer review for personal advantage.
Reviews should be conducted based on academic merit and observations should be formulated clearly with supporting arguments. In cases where selected Reviewer feels unqualified to review a manuscript, Reviewer should notify the editor and excuse himself from the review process in TWO (2) weeks time from the review offer is made.
In any reasonable circumstances, Reviewers should not consider to evaluate manuscripts if they have conflicts of interest (i.e: competitive, collaborative and/or other connections with any of the authors, companies, or institutions affiliated to the papers).
Editors
Editors should evaluate manuscripts exclusively based on their academic merit. JBCS strictly do not allow editors to use unpublished information of authors without the written consent of the author. Editors are required to take appropriate responsive actions if ethical complaints have been presented concerning a submitted manuscript or published paper.
CONFLICT OF INTEREST
Journal of Biomedical and Clinical Sciences requires authors to declare all competing interests in relation to their work. All submitted manuscripts must include a ‘competing interests section at the end of the manuscript listing all competing interests (financial and non-financial). Where authors have no competing interests, the statement should read ,The authors have declared that no competing interests exist. Editors may ask for further information relating to competing interests.
Editors and reviewers are also required to declare any competing interests and will be excluded from the peer review process if a competing interest exists. Competing interests may be financial or non-financial. A competing interest exists when the authors interpretation of data or presentation of information may be influenced by their personal or financial relationship with other people or organizations. Authors should disclose any financial competing interests but also any non-financial competing interests that may cause them embarrassment if they were to become public after the publication of the article.
HUMAN AND ANIMAL RIGHTS
All research must have been carried out within an appropriate ethical framework. If there is suspicion that work has not taken place within an appropriate ethical framework, Editors will follow the Misconduct policy and may reject the manuscript, and/or contact the author(s) institution or ethics committee. On rare occasions, if the Editor has serious concerns about the ethics of a study, the manuscript may be rejected on ethical grounds, even if approval from an ethics committee has been obtained.
Research involving human subjects, human material, or human data, must have been performed in accordance with the Declaration of Helsinki and must have been approved by an appropriate ethics committee. A statement detailing this, including the name of the ethics committee and the reference number where appropriate, must appear in all manuscripts reporting such research. Further information and documentation to support this should be made available to Editors on request.
Experimental research on vertebrates or any regulated invertebrates must comply with institutional, national, or international guidelines, and where available should have been approved by an appropriate ethics committee. The Basel Declaration outlines fundamental principles to adhere to when conducting research in animals and the International Council for Laboratory Animal Science (ICLAS) has also published ethical guidelines.
A statement detailing compliance with relevant guidelines (e.g. the revised Animals (Scientific Procedures) Act 1986 in the UK and Directive 2010/63/EU in Europe) and/or ethical approval (including the name of the ethics committee and the reference number where appropriate) must be included in the manuscript. The Editor will take account of animal welfare issues and reserves the right to reject a manuscript, especially if the research involves protocols that are inconsistent with commonly accepted norms of animal research. In rare cases, Editors may contact the ethics committee for further information.
INFORMED CONSENT
For all research involving human subjects, informed consent to participate in the study should be obtained from participants (or their parent or guardian in the case of children under 16) and a statement to this effect should appear in the manuscript, this includes to all manuscripts that include details, images, or videos relating to individual participants.
DATA SHARING POLICY
JBCS strongly encourages that all datasets on which the conclusions of the paper rely should be available to readers. We encourage authors to ensure that their datasets are either deposited in publicly available repositories (where available and appropriate) or presented in the main manuscript or additional supporting files, in machine-readable format (such as spreadsheets rather than PDFs) whenever possible
Authors who do not wish to share their data must state that data will not be shared, and give the reason.
COPYRIGHT NOTICE
The JBCS retains the copyright of published manuscripts under the terms of the Copyright Transfer Agreement. However, the journal permits unrestricted use, distribution, and reproduction in any medium, provided permission to reuse, distribute and reproduce is obtained from the Journal's Editor and the original work is properly cited.
While the advice and information in this journal are believed to be true and accurate on the date of its going to press, neither the authors, the editors, nor the publisher can accept any legal responsibility for any errors or omissions that may be made. The publisher makes no warranty, express or implied, with respect to the material contained herein.
Copyright (c) 2023 Journal of Biomedical and Clinical Sciences (JBCS)
This work is licensed under a Creative Commons Attribution-NonCommercial-NoDerivatives 4.0 International License.





